cebolla-01-a-title
HOMMAGE à UNE PELURE D'OIGNON
GALERIE
WALTER DIONI Durango (Dgo) Mexico

Attention cette page nécessite un écran en 1024 pixel



Voici un choix d'images prises avec un microscope d'amateur en utilisant différentes méthodes développées l'année dernière par d'autres amateurs.

 

 

Nous pouvons donc vous montrer les résultats magnifique issus de trois méthodes professionnelles dont deux d'entre elles nous sont révélées grâce à la bonté de deux amis amateur très avancés.

 

 

Il est très important pour moi de vous préciser (comme beaucoup d'entre vous l'ont sûrement déjà constaté ) que les résultats en vision microscopique directe des dispositifs que j'utilise ici et ceux dont je parle dans un article a venir, sont beaucoup plus intenses, et donnent un sentiment de profondeur et de couleur qui ne sont pas fidèlement rendus par les capteurs d'images.

 

Les filtres de Rheinberg donnent par exemple avec mon microscope beaucoup plus de nuances et de contrastes que ma caméra est capable d'enregistrer.

 

Exceptés les diaphragmes de champ, utilisés en fond clair au-dessus de la lentille frontale de la lampe afin d'obtenir l'éclairage critique pour chaque objectif, tous les autres filtres, diaphragmes, et disques opaques sont placés dans le porte filtres du condenseur.

 
Deux de mes exemples ont été pris en fond clair et ont subi un traitement électronique d'image et une post-coloration sous PhotoPaint.

 

cebolla-01-b
cebolla 02
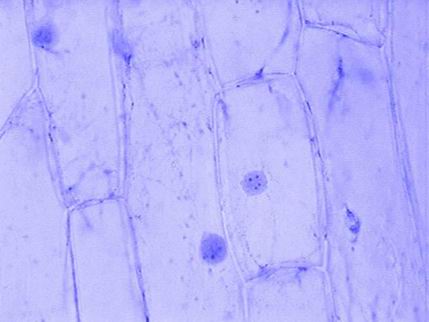
Objectif 10 x
Objectif 40 x
Éclairage critique, cellules vivantes, montage aqueux, pas de filtre pas de coloration

cebolla-03
cebolla-04-d
Surface d'une cellule vivante. éclairage critique 40 x
Cellule vivante, le noyau semble flotter dans le cytoplasme COL-D2 40 x

cebolla-04-e
cebolla-05
Dentelle de pelure d'oignon
Rheinberg: bleu 12.5 mm au centre, anneau
extérieur rouge. Objectif 10x
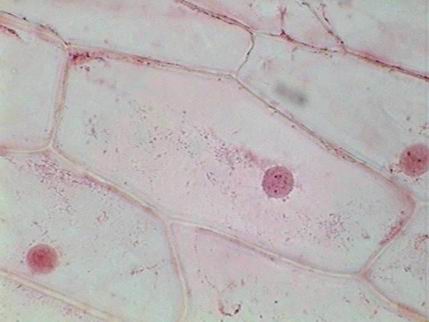
Éclairage critique Coloration à l' Iode Objectif 10 x

cebolla-06
cebolla-07
Diaphragme COL-J -Teinture d'iode Objectif 40 x
Fixation AFA. Montage glycérine Coloration Rouge Allura. Objectif 40 x.

40 x AFA – Monté à la glycérine, Bleu de Méthylène en excès, mais je trouve cette image jolie
Objectif 10 x- Cellules vivantes Fond Noir- disque de 12.5 mm

cebolla-10
cebolla-12
40 x- Fond Noir. Disque central 20 mm de diamètre. Montage à la glycérine
40 x- Le DIC du pauvre. Disque central opaque de 15 mm, et éclairage marginal oblique. Disque légèrement décentré pour accentuer l'éclairage oblique. Montage à la glycérine

cebolla-14
cebolla-13
40 x- Éclairage critique marginal circulaire d'après Sterrenburg, Disque opaque de 15.5 mm calculé pour couvrir 95% de l'ouverture de l'objectif.
Une autre image similaire en éclairage oblique 40x

cebolla-15
cebolla-16
Flèche de Mathias. Un autre pseudo DIC 40 x- Cellule vivante.
Avec l'extrémité plate de la flèche de Mathias !! 40 x – In vivo.

cebolla 17-c
cebolla-18-c
40 x- Torturé avec une solution saline hypertonique.
Montage humide- COL-C
40 x- idem. Transparences cristallines. COL-C, renforcé avec un filtre cyan.

cebolla-20-j
cebolla-21
- COL-J, La face visible du noyau avec ces 4 nucléoles , montage à la glycérine.
100 x – Effet de relief et fausses couleurs avec PhotoPaint. Montage à la glycérine.

cebolla-22
cebolla-23
100 x- Éclairage oblique. Pas d' effet ajouté. Fausses couleurs dans Photo Paint. Montage à la glycérine.
40 x- Montage humide. In vivo. Disque opaque de 15 mm renforcé par un disque bleu foncé. L'image imite une fluorescence DAPI .




SUPPLÉMENT :

 

 

Vous trouverez la contribution à l'étude de la pelure d'oignon, de deux Microscopistes réputés Steve Durr et Paul James, dans le supplément à la Galerie

 

 
 

Aller au supplément

 

 
 

Retour à l'article

 

 
Attention le supplément nécessite un écran en 1024 pixel

 


 

 
Cet article vous a intéressé ? vous a passionné ?
 
 
Alors nous vous invitons à en discuter avec son Auteur ou bien au sein du groupe
 
 
 
 

 

© MicrOscOpieS.com et les Auteurs.
Toute reproduction même partielle du site MicrOscOpieS.com ou des Articles du Magazine MicrOscOpieS est interdite sans l'accord du Propriétaire ou des Auteurs

 
 
© Tous droits réservés. Site: MicrOscOpieS.com & MicrOscOpieS.org