______________

 

Travaux Pratiques de Microscopie

TPM-3

______________

 


Les Coupes à la paraffine

 


Généralités.

 

Le microscope photonique en transmission ne peut fournir d'images que si la préparation à examiner est suffisamment fine pour se laisser traverser partiellement par la lumière. Dans le cas d'objets épais comme par exemple des tissus animaux ou végétaux, il est nécessaire de pratiquer des coupes en leur sein pour les rendre suffisamment transparents. L'épaisseur de ces coupes se situe aux alentours de 4 µ .

A cette épaisseur, la résistance des tissus à la pression de l'arête de l'instrument coupant n'est pas suffisante et entraîne des détériorations qui rendent inexploitables les observations qui en résultent.

C'est pourquoi on a l'habitude de pratiquer une inclusion du tissus préalablement à la coupe.

Le médium utilisé va se substituer à l'eau tissulaire pour augmenter la tenue du bloc à couper.

Plusieurs média peuvent être utilisés pour cela.
Le Collodion, l'Esterwax, les Résines Epoxy, Gommes, Gels de silice, Gélatine et bien d'autres.
La Paraffine qui existe en plusieurs déclinaisons, est le plus connu de ces média et le plus utilisé.

Le protocole de coupe que nous détaillons ici ne s'applique véritablement qu'à un seul type de paraffine et un type de microtome, dans tous les autres cas il faudra extrapoler en tenant compte des recommandations spécifiques à chacun des produit.
Le microtome peut produire des séries de coupes reliées entre elles sous forme de ruban ce qui facilite la reconstitution 3D des structures observées.

Une fois débitées en coupes les pièces anatomiques (dans un sens large) doivent être colorées.
La coloration des coupes dépend de la nature de la coupe et des éléments que l'on veut mettre en évidence au sein des coupes. En histologique animale de nombreuses colorations existent qui sont pour la plupart des trichromes. Nous pouvons citer, sans être exhaustif:

Trichrome d'Azan
Trichrome de Gabe
Trichrome de Benda
Trichrome de Lillie
Trichrome de Dobel
Trichrome de Mann
Trichrome d' Ehrlich
Trichrome de Masson
Trichrome de Gomori
Trichrome de Millo

Toutes ces colorations comportent comme d'habitude de nombreuses variantes.

Dans ce TPM nous allons étudier quatre techniques classiques de coloration utilisées en anatomopathologie humaine mais qui peuvent être transposées à de nombreux autres tissus animaux.

Ce sont:

Coloration bichromique
HEMALUM EOSINE
H-E
Coloration trichromique
HEMALUM EOSINE SAFRAN
H-E-S
Coloration trichromique
Trichrome de Masson
Coloration Panoptique
GIEMSA Lent (Romanowski)

Ce TPM destiné à des amateurs avertis, est réalisable à la main, mais la plupart des opérations peuvent être effectuées par des automates dans le cadre d'un service d'anatomopathologie ou de recherche.

 

 




Matériel.

  • MATERIEL
    • Microscope biologique à optique plane.
    • Microtome de type Minot
    • Cuves à coloration
    • Lames dégraissées.
    • Pinces à lames et lamelles
    • Pissette d'eau neutre.
    • Plateau émaillé ou inox.

  • PRODUITS DIVERS
    • Eau
    • Eau acétifiée à 1%
    • Eau acétifiée 0.05 %
    • Alcool à 95
    • Toluène pur
    • Toluène phéniqué
    • Carbonate de lithium en solution saturée
    • Ammoniaque à 3%
    • Acide phosphomolybdique à 1%
    • Alcool-acétone 50/50 %

    • Milieux de montage
      • Baume du Canada
      • Huile de cèdre
      • Eukitt
      • Clearium
      • Autres milieux synthétiques.

 



FIXATEURS & COLORANTS

  • FIXATEUR
    • Liquide de Bouin (Picroformol acide de Bouin)
      • Solution saturée d'acide picrique...... 750 ml
      • Aldéhyde formique (à 40%)............ 250 ml
      • Acide Acétique glacial................... 50 ml

  • COLORANTS
    • Hémalun acide de Mayer.
      • Hématoxyline........ 1 g
      • Eau ..............1000 ml
        • Dissoudre à chaud
        • Refroidir
      • Iodate de Na ......0.2 g
      • Alun de K ...........50 g
        • Dissoudre
      • Hydrate de Chloral .50 g
      • Acide citrique....... 1 g
        • Dissoudre Conserver bouché.

    • Eosine à 2%
    • Eosine B (Bleuatre ) en solution aqueuse à 1%.

    • Ponceau-Fuschine
    • Ponceau-xylidine


    • Oange G-Phosphotungstique
      • Orange G ..................2 g
      • Acide phosphotugstique ...3 g
      • Eau .....................100 ml

    • Fuchsine ponceau
      • ponceau rubescent... 0.2 g
      • fuchsine acide....... 0.1 g
      • acide acétique .......0.6 ml
      • Eau QSP............. 300 ml

    • Vert lumière
      • vert lumière............ 1 g
      • acide acétique glacial ..1 ml
      • eau distillée......... 100 ml

    • Bleu d'aniline
      • bleu d'aniline....... 2 à 3 g
      • acide acétique........ 2,5 ml
      • eau distillée.......... 100 ml
      • Dissoudre le bleu dans l'eau bouillante
        Ajouter l'acide
        Refroidir et filtrer

    • Giemsa L selon Romanowski (Préparation commerciale)
      • Diluer à 20 % dans l'eau distillée.

 


Protocole.

 

  1. FIXATION.
    • La fixation doit être réalisée le plus tôt possible et le plus rapidement possible.
    • Le choix du fixateur dépend de la nature du sujet à couper.
    • L'épaisseur de la pièce à fixer doit permettre l'action rapide du fixateur.
    • La durée d'action du fixateur est proportionnelle à la taille de la pièce.
    • La quantité du fixateur utilisée doit être proportionnée à la taille de la pièce.
    • Un colorant peut être incorporé au fixateur de manière à rendre plus visible la pièce au sein du bloc de paraffine.
    • Nous utiliserons ici le Formol à 3-4% + Eosine.

  2. DÉSHYDRATATION.
    • La paraffine n'est pas miscible à l'eau, la pièce anatomique doit être entièrement déshydratée avant l'inclusion dans la paraffine.
    • La paraffine n'est pas non plus soluble dans l'alcool utilisé pour la déshydratation.
    • On procède donc à une double substitution.
      • On remplace l'eau par de l'alcool (DÉSHYDRATATION)
      • On remplace l'alcool par le toluène (SUBSTITUTION)
    • DÉSHYDRATATION 5 mn par bains
      • Alcool 80°
      • Alcool 90°
      • Alcool Absolu. (Totalement anhydre)
    • SUBSTITUTION 5mn par bain
      • Toluène phéniqué premier bain
      • Toluène phéniqué deuxième bain
      • Toluène pur premier bain
      • Toluène pur deuxième bain

  3. INCLUSION.
    • L'inclusion ne se fera de façon satisfaisante que si la pièce à couper ne contient ni eau ni solvant intermédiaire (alcool).
    • Il existe différentes qualités de paraffines qui se différencient par leur point de fusion.
    • Le Paraplast est une paraffine synthétique qui imprègne bien les pièces.
    • Régler la température du bain de paraffine en fonction de ce point de fusion (45-70°)
    • La durée de l'inclusion dépend de la taille de la pièce .
    • L'inclusion se fera dans des moules permettant la confections de blocs qui se montent ensuite sur le microtome. (Voir les illustrations)

  4. RÉALISATION DES COUPES.
    • Monter le bloc dans le porte-bloc du microtome.
    • Régler le couteau de manière à dresser une face de coupe nette. (Coupes épaisses)
    • Régler l'épaisseur de coupe définitive.(3-5 µ)
    • Procéder à la confection du ruban de coupes.

  5. CONFECTiON DES LAMES.

    1. ÉTALEMENT
      • Étaler en déplissant la coupe sur la lame côté brillant sur le verre en présence d'ovo-albumine..
      • Ou bien déplisser la coupe par flottaison à la surface d'un bain chaud d'ovo-albumine puis la poser sur la lame.

    2. COLLAGE et SÉCHAGE
      • Le collage se fait par chauffage de la lame sur une platine chauffante.
      • 10 mn sur une platine à 55°
      • Égouttage de la lame (voir illustration )
      • 10 mn sur une platine à 65°


  6. DEPARAFFINATION.

    1. Première méthode
      • Premier bain dans le toluène 5 mn
      • Deuxième bain dans le toluène 5 mn
    2. Deuxième méthode

  7. REHYDRATATION. 5 mn par bain

    • Premier bain dans l'alcool à 95°
    • Deuxième bain dans l'alcool à 95 °
    • Premier bain dans l'alcool à 80 °
    • Deuxième bain dans l'alcool à 80 °
    • Bain dans l'eau .

  8. COLORATION.

    Bichrome H.E
    (Hémalun-Eosine)

    .
    C'est la méthode que nous avons adoptée ici.


    1. Première méthode.

      • hémalun acide de Mayer, 15 mn
      • rincer à l'eau, 15 mn
      • éosine
      • fuschine-ponceau (ou bien Ponceau xylidine), 3 mn
      • eau acétifiée, 15 sec
      • acide phosphomolybdique 1%, 10 mn
      • eau acétifiée, 15 sec
      • bleu d'aniline, 2 mn
      • Vous pouvez passer aux paragraphes 9 et 10 pour la déshydratation et le montage.


    2. Deuxième méthode

      • Bain dans l' hémalun de 5 à 15 mn.
      • Laver à l'eau.
      • Différencier dans l'alcool acide.
      • Laver à l'eau
      • Bleuir dans la solution ammoniacale (3%)
      • Laver à l'eau
      • Eosine B pendant 5 à 7 mn
      • Laver à l'eau
      • Différencier dans l'alcool à 70°
      • Vous pouvez passer aux paragraphes 9 et 10 pour la deshydratation et le montage.


    3. Troisième méthode.

      • Hematoxyline 2 -3 mn
      • Rincer
      • Fuchsine ponceau 5-10 mn
      • Rincer
      • Acide phosphomolybdique à 1% 10 mn
      • Bleu d'aniline 10 sec ou vert lumière 2 mn
      • Rincer
      • Eau acétifiée à 1% 2 mn
      • Rincer
      • Vous pouvez passer aux paragraphes 9 et 10 pour la déshydratation et le montage.




    Trichrome H.E.S
    (Hémalun-E
    osine-Safran)


    Une des trois méthode précédentes (Hémalun-Eosine) ou une de leurs variantes peuvent être complétées après le dernier rinçage par une coloration au Safran pour donner le Trichrome H.E.S

      • Safran alcoolique 5 à 8 mn
      • Vous pouvez passer aux paragraphes 9 et 10 pour la déshydratation et le montage.



      Trichrome de MASSON
      (Hémalun-Eosine-Safran)

      • Coloration des noyaux
        • Bain dans l' hémalun de 5 à 15 mn.
        • Laver à l'eau.
        • Différencier dans l'alcool acide.
        • Laver à l'eau
        • Bleuir dans la solution ammoniacale (3%)
        • Laver à l'eau

      • Coloration des cytoplasmes
        • Ponceau-Fuschine 5 mn
        • Rincer à l'eau
        • Bain d'acide phosphomolybdique 10 mn
        • Egoutter sans laver
        • Bleu d'aniline (ou vert lumière) 1- 5 mn
        • Eau acétifiée à 1% 5mn
        • Déshydratation progressive 70-95-absolu
        • Toluène
        • Montage


      Giemsa Lent
      (Romanowski)

        • Giemsa lent dilué , 1 heure
        • Différencier (2-3 sec) à l'eau acétique 0.05%
        • Déshydrater à l'alcool-acétone 50%
        • Monter



  9. DESHYDRATATION.5 mn par bain

    1. Première méthode
      • Premier bain dans l'alcool à 95 °
      • Deuxième bain dans l'alcool à 95 °
      • Premier bain dans le toluène phéniqué
      • Deuxième bain dans le toluène phéniqué
      • Premier bain dans le toluène pur.
      • Deuxième bains de toluène pur.
    2. Deuxième méthode : Alcool éthylique ou isopropylique ( pour montage au Clearium )
      • Alcool 80°
      • Alcool 90°
      • Alcool Absolu. (Totalement anhydre)

  10. MONTAGE.

    Le montage se fait classiquement entre lame et lamelle en utilisant les media classiques
    • Baume du canada (utiliser le toluène ou le xylène)
    • Huile de cèdre (utiliser le toluène ou le xylène)
    • Eukitt (utiliser le toluène ou le xylène)
    • Clearium (utiliser le propanol)
    • Autres milieux synthétiques.

  1. LECTURE DES LAMES

    La lecture des lames se fait aux faibles grossissements en utilisant impérativement des objectifs plans pour avoir une bonne vue d'ensemble des tissus.
    Ici les faibles grossissements sont utilisés, mais du fait du tirage de la WebCam et conte tenu du grandissement final à l'écran, les grossissements finaux sont nettement plus importants et ne reflètent pas la vision directe au microscope.
    Les grandissement finaux sont donnés pour une taille d'écran de 1024 x 768 pixels.




Les procédures automatisées

Un automate d'inclusion peut se charger de toutes les phases conduisant à la mise à disposition d'un bloc de paraffine prêt à être microtomisé.

Un automate de coloration peut se charger de toutes les phases de coloration des coupes.

 



PROTOCOLE ILLUSTRE
 
1- Distributeur de paraffine - Leica
2- Inclusion des pièces
3- Collage des cassettes sur les moules
 
4- Ruban de coupes sur le Microtome Leica 1510
5- Ruban de coupes
6- Collage des coupes à l'albumine
7- Coloration

8- Montage définitif : Collage des lamelles.

 


AUTOMATES

9- Automate d'inclusion - Leica TP 1040

10- Automate de coloration - Leica AUTOSTAINER XL



RÉSULTATS.

 

 

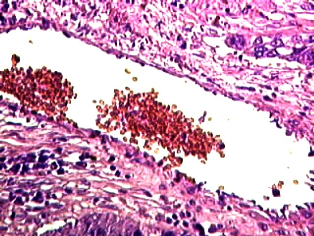
Capillaire dans une tumeur du poumon 550 X
Cancer du poumon (Tabac) 550 X
Cellule cancéreuse agrandie 2100 x

Hémalun Eosine
Leitz Orthoplan + ToUcam Pro