MICROSCOPES, FILTRES, DIAPHRAGMES ET OBTURATEURS

DÉTAILS TECHNIQUES pour HOMMAGE A LA PELURE D’OIGNON
Avec quelques suppléments


WALTER  DIONI                                                        DURANGO (DGO) MEXIQUE


Larve de moustique Anophèles. Photographiée en 3 fois avec l'objectif 4 x et le
diaphragme COL-D2 .
Re-composée avec Photopaint. puis réduite de 1489 x 593 px à 750 x 299

Vous pouvez agrandir la plupart des photos en chiquant dessus !

 

 


ÉQUIPEMENT
- Toutes mes images ont été recueillies avec un microscope National Optical DC3-163P, et une camera digitale DC•3 intégré, la balance des blancs est automatique, et les prises de vue contrôlées par un logiciel de capture propriétaire. Le microscope est équipé avec des objectifs DIN plan achromatiques 4x (ON 0.10), 10x (0.25), 40 x (0.65) et 100x IO (1.25), un condensateur ° d'Abbé 0N 1.25 et une lampe de 12V, 20W incluse dans le pied, donnant l'éclairage critique. D'autres détails sur l'instrument, la camera, et le logiciel, peuvent être consultés sur ce site:

www.microscopeworld.com

° Dénomination plus ancienne mais tout aussi valable, du condenseur (NDLR)

a
  PHOTOS.- Le format de capture est de 640 x 480 px. En général les illustrations ont été réduites à 320 x 240. La larguer du champ couvert par la photo est de 70% de celle du diamètre de l'image microscopique. Pour ceux qui veulent prendre des mesures sur mes photos j'ajoute la largueur (la dimension horizontale) en micromètres du champ de vue du microscope couvert par la photo avec chaque objectif.  
 
objectifs
 microns
X4
X10
X40
X100
   3400
    1333
    340
    133

 
   
Si vous imprimez les photos il est très facile d'obtenir un index en microns par millimètre, en divisant les microns correspondants à l'objectif par la largeur en millimètres de la photo imprimée.


 
 

RÉGLAGE DE L'ÉCLAIRAGE
 
 
FOND CLAIR
- J'ai pourvu le système d'éclairage d'un diaphragme de champ (DC) permanent destiné à l'objectif 4x, sur lequel est monté le filtre bleu (J'ai fait deux montures interchangeables pour utiliser aussi le filtre vert, j'ai aussi un filtre jaune, mais je ne l'utilise jamais) C'est très amusant, mais la Mayonnaise Hellmans de 200 g, possède un couvercle qui s'ajuste exactement à l'anneau extérieur de la lentille frontale de mon éclairage, de telle manière qu'il est juste besoin de pratiquer un orifice de 30 mm pour recevoir le filtre bleu ou vert en son centre . Je fixe le filtre avec deux anneaux de carton. Cela met la surface du « couvercle porte filtre » à 3 mm de la lentille frontale.  Si ma solution ne vous plaît pas vous pouvez trouver beaucoup plus de détails dans ces références
 
 

Rosemarie Arbur.
www.microscopy-uk.org.uk/mag/artfeb01/filthold.html

Ian Walker
www.microscopy-uk.org.uk/mag/artsep02/toptips11.html

 
 

 

filtros 001 filtros 002
Daphnie - objectif x 10
 Cellules de la joue - x 40
Contraste augmenté et intensité décrue pour pouvoir montrer les cellules **

 

 
 
** pour mieux montrer les cellules, ce qui est difficile avec le champ clair j'ai aussi découpéun morceau de la photo originale à 640 x 480, ce qui fait que les cellules paraissent plus grandes.
 
 

     J'ai réduit le nombre de DC à seulement deux : un de 13 mm pour le 10x et un autre de 6 mm pour le 40x et aussi pour le 100x. Un diaphragme plus petit cause dans mon système une diffraction marginale indésirable. Je fais la mise au point sur une préparation. Alors je place sur le filtre bleu un disque transparent d'acétate avec une croix centrale et grâce au mouvement du condensateur je fais  la mise au point de cette croix sur le plan objet, et puis je fais l'échange avec le DC correspondant. Puis j'ajuste le diaphragme d'ouverture à 75% de l'Ouverture Numérique. J'ai marqué la position du levier, et monté dans le pied du microscope (le mien a une surface très convenable à l'avant ) un tout petit miroir pour voir le levier sans avoir à faire d' acrobaties.

 
     
filtros 003 filtros 004
Larve de moustique - x 4
Larve-x 4 - COL-D1
 
Cette technique focalise sur la préparation un disque de lumière, pure, sans textures ni poussières. C'est une version moderne de l'éclairage critique.
On ne peut pas faire d'éclairage de Köhler sans avoir une lentille frontale mobile dévissable, pour faire la mise au point du filament de la lampe sur le plan du diaphragme d'ouverture.

Si vous en avez une, vous pouvez monter sur la lentille frontale de votre illuminateur ° un diaphragme iris, qui est plus commode que les diaphragmes fixes individuels.

° Dispositif d'éclairage(NDLR)

 
 


LES FILTRES, DIAPHRAGMES ET OBTURATEURS
 
 
Ce sont des dispositifs que l'on place dans le porte filtre du condensateur

 
  Un filtre est un disque transparent, clair ou coloré interposé dans le faisceau lumineux arrivant à l'objectif.
Un obturateur est un disque dont une ou plusieurs portions opaques sont dessinées pour interférer avec les parties correspondantes du champ objet.
Un diaphragme est un disque opaque limitant une zone transparente centrale ( ou excentrique). Le diaphragme peut être de dimension fixe, ou varier en continu dans le cas du diaphragme iris.

Ils sont utilisés pour projeter sur l'objet dans le champ du microscope une lumière prédéfinie dans sa forme et sa couleur en lui donnant un nouveau contraste ou de nouvelles couleurs. On utilise des disques du diamètre du porte-filtre (approx. 30 mm)
 
 
filtros 005
Daphnie vivante - x 4 – ObN 12.5 mm
  CONSEILS:Quand vous en arrivez à l'utilisation de ces dispositifs, vous devez généralement oublier les règles de l'éclairage de Köhler ou de l'éclairage Critique. Chacun a ses propres règles d'utilisation pour obtenir l'effet désiré. Une hauteur optimale du condensateur, une ouverture complète ou presque du diaphragme d'ouverture, une intensité de la lumière. Et sûrement pour pouvoir enregistrer l'effet du dispositif dans l'éclairage de votre objet vous devez aussi régler finement vos paramètres de prise de vue avec vôtre logiciel de capture, surtout la luminosité et le contraste, et très souvent la nuance de couleur (hue)

 
  Tous ces outils, et surtout les diaphragmes COL en plus d'accentuer les détails de l'objet, lui donnent de la couleur, en différenciant d'une façon spectaculaire les organes et particularités de l'objet examiné.

 
  Vous devez vous rappeler que les filtres, les diaphragmes et les obturateurs se comportent de façon très différente selon le sujet. La nature de celui ci, son épaisseur, sa texture, s'il est vivant ou fixé, à sec ou dans un milieu de montage, sont déterminants pour l'effet de l'outil utilisé. Ce qui donne des couleurs avec un sujet épais, peut donner une image grise avec un sujet très fin. Un diaphragme qui donne des résultats optimum avec quelque sujet, peut n'être pas utilisable avec un autre. Deux diaphragmes qui sont différents peuvent donner résultats très semblables.

 
  On doit toujours commencer par les obturateurs pour champ noir. C'est très souvent suffisant.  
 
Et, souvenez-vous: ce n'est pas une science, c'est un art. La seule garantie de succès réside dans l'expérimentation. Mais ce sont des outils qui procurent au microscopiste amateur une puissance  très proche des microscopes professionnels beaucoup plus chers. Si vous n'avez pas trop d'argent vous avez besoin de ce petit outillage, qui donne de si bonnes et si belles images.

 
 
FOND NOIR-
J' obtiens le fond noir avec des obturateurs pour champ noir (ObN) comme de nombreux auteurs les ont décrits à maintes occasions. Mes ObN son faits en les imprimant sur acétate avec une imprimante HP a jet d'encre à 1200 ppp. Pour obtenir la densité adéquate je colle deux ou trois copies avec du vernis à ongles, appliqué là où cela ne gêne pas la partie utile de l'obturateur. Cela donne aussi plus de rigidité aux obturateurs. Mon équipement inclue une série de 10 mm, 12.5 mm, 15 mm et un exceptionnel de 20 mm. Ce dernier est l'unique ObN qui me procure quelques fois un véritable fond noir avec l'objectif x40. (Voir  Hommage à la Pelure d'Oignon) Jusqu'à ce que j'utilise cet obturateur je croyais que mon 40x ne pouvait pas me procurer un vrai fond noir. Mais comme j'ai dit plus haut on doit choisir soigneusement les préparations qui ont une chance de réussir.

 
filtros 006 007
Daphnie ObN -10mm, centré. Objectif 10x
Daphnie ObN -15 mm, décentré. Objectif 10x
 
Réglez très finement la brillance, avec le logiciel de la camera, pour enregistrer un vrai fond noir et pour donner au sujet la finesse de couleur et de détail qu'il montre au microscope. Il se peut que vous deviez diminuer le contraste pour bien rendre la texture de l'objet. En général seul le 4x supporte le fond noir. Mais le 10 x avec un ObN de 8 ou 10 mm peut, avec quelques sujets, donner aussi un type d'éclairage oblique marginal (voir ci-dessous).

 
  De plus, tous les ObN légèrement écartés de leur position centrale donnent un éclairage oblique quelque fois très efficace, mais sûrement avec un gradient d'illumination qui peut dégrader la qualité de l'image. Maintes fois on peut traiter les fonds dans un processeur d'images pour éliminer ces contrastes.
 
  Références

F.A.S. Sterrenburg (Darkfield)
www.microscopy-uk.org.uk/primer/index.html

Mike Samworth and Wim van Egmond
www.microscopy-uk.org.uk/mag/art97b/wimdfield.html

 
 ÉCLAIRAGE OBLIQUE MARGINAL.- Certains des ObN sont utilisés avec le 40x et, en quelques occasions, et avec quelques sujets, avec le 100x, pour obtenir l'Éclairage Oblique Marginal que permet l'effet de pseudo contraste de phases décrit par Sterrenburg, et qui est aussi dans la base du système de COL de Paul James. Pour l'obtenir on doit équiper le condensateur avec le filtre du diamètre adapté à l'ouverture numérique de l'objectif, et bien centré, a une hauteur qui permet obscurcir presque 95% de l'ON. de l'objectif. Avec le diaphragme d'ouverture ouvert totalement on obtient le contraste-de-phase-maison selon Sterrenburg ou au moins une très bonne illumination oblique. Dans ce cas le fond n'est pas noir, mais il a des nuances qui vont du gris argenté au gris obscur, avec une tinte de bleu, très agréables.

 
 
F.A.S.Sterrenburg (Phase Contrast on the House)


www.microscopy-uk.org.uk/primer/index.html
 
  Le DIC du pauvre.- Bien règles quelques ObN utilisés selon ces techniques produisent avec beaucoup de microscopes des résultats qui ressemblent aux images en relief d'un microscope à DIC de Nomarski. (On parle ici avec raison du DIC du pauvre, à ne pas confondre avec les résultats artificiels cées par certain logiciels de traitement des images qui produisent ainsi l'illusion de relief a partir d’images plates)
 
filtros 008
filtros 009
filtros 010
Cellules de la joue
40 x IOM
Tête de Daphnie Trou clair 10 mm
40 x IOB
Cellules de la joue
Flèche de Mathias x 40
 
ÉCLAIRAGE OBLIQUE.
- Maints obturateurs ont été décrits pour obtenir l'éclairage oblique, (IOb) en formant un carré, fait de quatre Gillettes, dangereux à réaliser et a utiliser. Demi-lunes noires, petites ou grandes, et disques noirs avec des disques clairs décentrés sont les formes les plus courantes. J’utilise un demi-lune de 12 mm de diamètre, et une autre de 15, chacune centrée dans un disque clair, une demi-lune noire qui occupe la moitié d'un disque de 30.5 mm, et un trou clair de 10 mm placé juste au bord d'un disque noir de 30.5 mm (le plus effectif). Mais quel que soit l'IOB ou l'ObN, ne laissez jamais   passer l'opportunité de les décentrer légèrement avec de petits déplacements du porte filtre. On obtient toujours des nuances très intéressantes.

 
  Il y a une variante technique intéressante  qu'on doit expérimenter quelque peu avant d'obtenir les résultats souhaités. On doit couper une bande opaque de 30 mm de larguer et en couper une extrémité pour obtenir une pointe en flèche de 45º. Si vous déglacez peu à peu la flèche à travers la base du condensateur (sur le porte filtres c' est plus commode) elle produit d'intéressants effets d'éclairage oblique, jusqu'au fond noir. C'est très facile à fabriquer, mais les résultats sont bien plus aléatoires que les dispositifs déjà étudiés. Vous trouverez plus de détails et illustrations dans mon récent article sur « La flèche de Mathias »

 
  Paul James

www.microscopy-uk.org.uk/mag/articles/poldw2.html

www.microscopy-uk.org.uk/mag/artfeb00/pjoblique.html


Erhard Mathias-

www.schwaben.de/home/mathias/english.html

 

RHEINBERG
.- Des filtres de Rheinberg (FRh) ont étés aussi préparés par la même méthode sur acétate. On doit se rappeler que le disque central, qui peut être noir ou coloré, détermine la couleur du fond de l'image microscopique, et que l'anneau périphérique illumine obliquement les objets en leur donnant sa couleur. Pour mieux réussir le disque central, il doit avoir le diamètre de l'ObN correspondant à l'objectif qu'on utilise. La densité des couleurs doit être relativement intense, surtout celle du disque central. On doit faire les Rheinberg en superposant et collant deux ou trois copies du même disque ou de disques différents. Par exemple on peut coller deux filtres à centre bleu et contour rouge, plus un clair avec centre bleu et pour finir , un disque qui a le centre plus dense que la périphérie.  On peut facilement faire des combinaisons de ces filtres transparents pour obtenir d'autres effets. Sur l'utilisation des Rheinberg on peut consulter

 
  Chuck Huck
www.microscopy-uk.org.uk/mag/artsep00/chillumin.html
Wim van Egmond
www.microscopy-uk.org.uk/mag/artapr02/contrast.html

Je ne suis pas d'accord avec ces méthodes pour faire les filtres, mais ils donnent une bon aperçu relation de leur utilisation.

 
filtros 011
filtros 012
filtros 013
Pelure d'oignon- FRh– x10
(bleu-rouge)
Anabaena-x 10- FRh
(bleu-clair)
oeuf d'Anopheles- x 10- FRh
(bleu-jaune)

Quand le sujet et le filtre sont bien associés les résultats des FRh sont spectaculaires et ne peuvent être améliorés qu'avec l'emploi des obturateurs COL. Mais généralement les FRh fonctionnent bien avec les objectifs de 4x à 20x. Ce n'est pas que l'on ne puisse pas les utiliser avec le 40x ou le 100x, mais généralement il est plus difficile d'en obtenir des résultats.

 
  ÉCLAIRAGE OBLIQUE CIRCULAIRE - Paul James a suffisamment et minutieusement décrit l'utilisation de ces obturateurs pour Éclairage Circulaire Oblique (connu sous le sigle Anglais de COL )

Pour obtenir de très intéressants effets d'éclairage avec les forts grossissements du microscope. Il ne néglige pas son utilisation avec les objectifs 10x et 20x, mais centre son intérêt sur l'emploi des 40x et les 100x. Ses photos de diatomées avec ses obturateurs COL sont exceptionnelles (L'obturateur qu'il propose est ici dénommé COL-J).
 
filtros 014
filtros 015
filtros 016
Larve d'Ephemeroptera-
Champ clair - x 4
 COL-J
    COL-C

Le COL-J que j’utilise le plus souvent a un disque central noir : 12 mm, suivi par un cercle clair de 3 mm, un noir de 2 mm, un autre clair de 2 mm,
l'extérieur étant noir.

 
 
filtros 017
Zygnéma et Spirogyra - x 40 - COL-J

 

 
 
 C'est un diaphragme réellement efficace, non seulement pour les forts grossissements comme James le suggère, mais aussi pour plusieurs autres sujets avec le 4x et le 10x.

 
  Ici il y a aussi un COL-C, parce que Christian Colin a utilisé une version légèrement différente et simplifie, (disque central de 12 mm, anneau clair de 3 mm, noir de 4 mm et extérieur clair), et des obturateurs COL-D, parce que j’ai fait quelques modification aux filtres COL et ai généralisé son application à tous les grossissements depuis le 4x jusqu'au 100x.  
 

Le COL-C donne des résultats similaires au COL-J mais un peu plus atténués (Si on compare le même sujet, c'est un peu comme la différence entre un vin doux et un vin sec)

 
filtros 018
larve de moustique - x10 - COL-C

Les COL-D sont des obturateurs COL polychromes. Le centre tout comme les cercles extérieurs peuvent être colorés. La couleur la plus utile est le bleu. Les diaphragmes que j'utilise le plus fréquemment sont : en premier un (COL-D1) avec un disque noir central de 11 mm, un anneau clair de 3 mm, le suivant bleu de 4 mm et enfin l'anneau périphérique clair.En second, un (COL-D2) dont le disque central est également noir, mais de 15 mm, un anneau clair de 3 mm, l'anneau bleu de 2 mm et enfin le suivant clair.

 

Un disque qui donne avec quelque sujets des résultats extraordinaires, très similaires à un vrai contraste de phases (il permet de différencier avec une très bonne définition des bactéries à la surface d‘organismes ou de cellules) est un disque comme le premier que j'ai décrit, mais avec un fond jaune ou orange. (COL-D3)
Il y a une là une idiosyncrasie *. Il donne des bons résultats en vision directe, mais mon appareil numérique enregistre très mal les couleurs qu'il fournit.

* Ici une allusion est faite à la faculté des étres humains de réagir de manière spécifique à leur environnement comme c'est le cas pour l'allergie. Comme si le microscopiste voyait à sa façon les couleurs, indépendamment de leur réalité objective (NDLR)

 
Un COL-D très intéressant est un COL-D qui a les dimensions d’un Col-J, mais dont l'anneau clair intérieur est rouge, et l'extérieur bleu.

 
 

 

filtros 019
filtros 020
Daphnie et ses embryons 10 x COL-D1
Segment de larve de moustique-x10-COL-D2
 

Les obturateurs COL polychromes sont d'un comportement très différent des FRh. L'effet de l'obturation circulaire opaque et claire, alternant, est très spécial. Mais vous pouvez certainement combiner les filtres COL et FRh avec succès. Sur des sujets dont la texture granuleuse ou linéaire est très accentuée, la combinaison d’un COL-J avec le filtres Rh à Quadrants Rouges et Bleus (FRhQ) qu' a proposé Win Van Egmont (voir la référence précédente sur les Rheinberg, et la troisième image incluse dans le cadre suivant) est réellement très efficace.

 
filtros 021 filtros 22
Anabaena - x 40 – COL-D3
Anabaena - x100 - COL-D3
filtros 023 filtros 024
Micro-oligochaete - x 100 - COL-D1 + FRhQ
Ephemeroptera- x 4 - COL-D3

Tous les obturateurs COL, exactement ajustes au sujet, correctement centrés et correctement éclairés, donnent des effets de relief superficiel très marqués. La sensation d'une extraordinaire profondeur de champ, et une très grande richesse de couleurs, permet de différencier la structure du sujet avec une finesse que ne possède pas l'éclairage courant.
 

James insiste beaucoup sur les précautions de centrage et l'adaptation du filtre et son système d'éclairage au sujet. Pour les cas critiques, il a tout à fait raison. (Voir son article) Mais d'après mon expérience, on peut utiliser ce type d'éclairage circulaire oblique avec la même liberté que les autres diaphragmes et obturateurs dont on a parlé ici. et ceci avec des résultats très appréciables, mais en ayant soin aussi de prendre des précautions plus strictes en cas de matériel plus difficile ou aux plus forts grossissements.

 
 
filtros 025 filtros 026
filtros 027
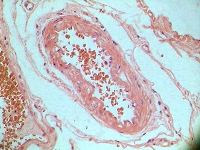
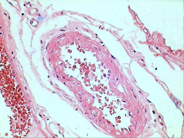
Bien qu'il me paraisse être une application marginale, seulement anecdotique, le relief peut être perçu même avec des préparations histologiques colorées à l' H-E et montées au Baume.Avec une épaisseur d'à peine 10 microns, divers tissus  donnent quelque fois différent brillances et couleurs.

Éclairage critique - COL-D1 et COL-D3

 

 

TROIS  NOTES  IMPORTANTES

 

 
  1) Les effets optiques produits par les filtres COL, ne sont pas toujours enregistrés correctement par les cameras digitales (en tout cas avec la mienne). Ce que l'on voit au microscope est très supérieur à l'image photographique. Paul James avec un appareil photo très supérieur au mien déplore le même problème.
2) L'image en fond clair reste toujours une image de référence, peu importe la beauté de l'image COL. Les mesures doivent être faites surtout sur les photos en fond clair. Les COL donnent des images en relief, mais créent aussi des distorsions.
3) Néanmoins une très grande quantité de détails ne peut pas être étudiée , ou étudiée avec une plus grande facilité, uniquement sur des images des diaphragmes COL. Il en est de même avec les images de Contraste de Phase ou bien encore avec les images de DIC. On ne peut pas se passer du FOND CLAIR

 
     

 
PETITE  GALERIE
 
 
J'ajoute ici quelques images que j'ai enregistrées avec différents diaphragmes ou obturateurs, mais pour lesquelles je ne pas conservé (c’est un péché impardonnable) le registre des outils utilisées.
 
     
filtros 028
filtros 029
Euchlanis
Prorodon 
filtros 030
filtros 031
Spyrogira 
Macrostomum (turbellarié)

          
L'ÉPISCOPIE-
 
  Paul Lyndeken et Dominique Voisin ont suggéré et décrit des appareils simples. J'ajoute ici un exemple de résultats obtenus avec mon premier épiscope. Les fleurs composées de Gazania sont illustrées à gauche. Une des fleurs fertiles du cercle extérieur (voir la flèche) fut mise au foyer du miroir parabolique. J'ai pris l'image en deux fois. Chacune des moitiés comprenant 6 nivaux, a été amalgamée avec Combine Z. Le compositage final des deux images résultantes fut fait avec Photo Paint
.
 
filtros 032 filtros 033

 Fleurs composées de "Gazania, sp." (x0.5 aprox.). A droite une fleur vraie du cercle signalée par la fléche.  Original à 700 x  827, objectif 4x, ici réduit à 350 x 413
  Lindekens, Yvan
groups.yahoo.com/group/Microscope/message/102

Voisin, Dominique
www.microscopies.com/DOSSIERS/Magazine/Articles/D-VOISIN--Episcopie/episcopie.htm

Ells, William
www.microscopy-uk.org.uk/mag/artsep98/beincid.html

 
  LA POLARISATION.-  Les cristaux et beaucoup de matériels biologiques qui ont des inclusions de nature diverse, donnent des images brillamment colorées s'ils sont examinés entre les lames de Polaroïd croisées Il existent beaucoup de travaux qui détaillent les méthodes applicables (professionnelles et amateurs) et montrent les très beaux résultats possibles. La technique est très facile, les plus difficiles à préparer sont les cristaux. Suivez les experts.  Vous pouvez consulter

 
 

Carlos Ratto
http://micromonde.free.fr/

Jean Legrand
www.microscopies.com/DOSSIERS/Magazine/Articles/JLegrand-Microcristallisations-1/microcristallisations.htm

Dave Walker
www.microscopy-uk.org.uk/mag/articles/poldw.html
www.microscopy-uk.org.uk/mag/articles/poldw2.html

 

LA FLUORESCENCE
.- Cette technique avancée exige normalement un microscope spécialement équipé, et une technique très soigneuse parce que les rayons UV qui déclenchent la fluorescence son très dangereux pour les yeux. Il y a pourtant un travail ou un amateur résume pour d'autres amateurs une méthode qui peut permettre quelques expériences intéressantes, si vous rassemblez tous les matériaux (filtres et colorants fluorescents). Voir

 
  Postal Microscopical Society

www.postal-microscopical-society.org.uk

Lettre de Keith Brocklehurst, du 10 d’octobre, 1999

 
 

ET POURQUOI PAS LES ANAGLYPHES ?

 
Wim van Egmont a décrit ses méthodes pour présenter des photos en trois dimensions à l'écran
 
www.microscopy-uk.org.uk/mag/art97b/wim2.html

 de l'ordinateur. La méthode la plus facile est de placer sur la source de lumière ou dans le porte filtre un filtre double, avec la moitié gauche rouge et la moitié droite bleue (ou verte, pour une autre technique) Il pressente dans les pages de son site des très beaux exemples. La même technique est utilisée par Giorgio Carboni. Il pressente aussi des exemples.

www.funsci.com/tlc/telecamere.htm

 Et Daniel Nardin a fait une très complète présentation dans

www.microscopies.com/DOSSIERS/Magazine/Articles/DNardin-Stereomicroscopie-1/Stereomicroscopie-1.htm

Les filtres sont faciles à acheter ou même à faire soi même. On peut en faire quelque uns d'efficaces avec deux pièces de Cellophane. Ou avec la  méthode des acétate colores. Faites en l'expérience.

Vous avez besoin de lunettes bleu et rouge pour voir les anaglyphes. J'ai fait les miennes avec des Cellophanes collées sur une monture que je place sur mes lunettes ordinaires. Ce sera plus facile pour ceux d'entre vous qui n'ont pas besoin de lunettes. N'essayez pas les acétates, ils sont trop opaques.

Les résultats sont incroyables. Et en plus de jouir les photos de Wim ou de Giorgio, ou des vôtres, vous pourrez faire un merveilleux voyage par les Alpes (Les Alpes ne sont certainement pas microscopiques)) à cette adresse.

perso.wanadoo.fr/alpes-stereo/autresStereo/TDMautresStereo.htm

Il y a une autre technique pour faire  des photomicrographies 3D:

Voyez ces épreuves que j’ai faites en utilisant deux photos de colistiers (pardonnez mois, chers amis) et deux autres personnelles. Chiquez sur les photos pour voir les originaux

 
filtros 034 filtros 035
filtros 036

 

Les trois premières illustrations avaient été traités par une méthode pour faire la 3D artificielle. La dernière fut prisse avec le double filtre « rouge-bleu » de Wim van Egmond, et reflète la vraie disposition des pollens d'Ipomea purpurata dans la préparation. Troisième photo prise avec le COL-D3  
 
Faites vos lames, comme dirait Christian : cela vaut la chandelle !
 
  Si quelqu'un veut la méthode pour faire des anaglyphes a partir de photos 2-D, je l'enverrai volontiers à son adresse. Pour certain sujets elle fonctionne bien.  Mais il est plus rationnel d'essayer le filtre rouge-bleu.
 
 


CONCLUSION

 
 
Si vous n'avez pas assez d'argent pour acheter un coûteux microscope avec les compléments techniques les plus évolués, passez quelque temps à la confection d'OBTURATEURS, FILTRES ET DIAPHRAGMES. Ils ne vous en coûtera pas beaucoup d'argent et vous pourrez vivre une merveilleuse aventure, en attendant que les sous (eh!, les euros) s'accumulent dans la tirelire jusqu'à ce que vous puissiez acquérir CE FABULEUX MICROSCOPE dont vous avez tant rêvé.
 
 

WD
 

Vous pouvez retrouver l'Auteur de cet article au sein du groupe :

© MicrOscOpieS.com MicrOscOpieS.org Mikroscopia.com et les Auteurs.


Toute reproduction même partielle du site MicrOscOpieS.com ou des Articles du Magazine MicrOscOpieS
est interdite sans l'accord du Propriétaire ou des Auteurs

© Tous droits réservés. MicrOscOpieS.com , MicrOscOpieS.org & Mikroscopia.com